史记泰州

 找回密码
 立即注册

微信登录

微信扫一扫,快速登录

搜索
热搜: 活动 交友 discuz
查看: 994|回复: 0

泰州市中医院神经外科团队手术切除小脑巨大转移瘤

[复制链接]

265

主题

163

回帖

2664

积分

版主

Rank: 7Rank: 7Rank: 7

积分
2664
发表于 2025-10-17 15:02:40 | 显示全部楼层 |阅读模式
当肠癌发生脑转移,治疗难度大大增加。大脑结构复杂,手术风险高,每一步都需格外谨慎。近期,我院神经外科周焱峰主任带领团队,成功为一位乙状结肠癌术后出现小脑转移的患者,实施小脑转移瘤切除手术,再次帮助患者渡过难关,延长了生存时间,改善了生活质量。
eb4331514d4bd86ea98a66f4087236a9.png
61岁的朱先生(化名),抗癌之路已有三年。
2022年底:他因便血等问题在我院确诊为乙状结肠癌,由胃肠外科团队实施腹腔镜下乙状结肠癌根治术,并完成了术后化疗。
2024年初:肿瘤出现了第一次“跨界”转移。朱先生因剧烈头痛头晕入院,检查发现癌细胞由血液转移右侧小脑半球,约39mm×35mm大小,周焱峰主任带领团队为其行 显微镜下右侧小脑巨大转移瘤切除术,手术顺利完成。术后配合放化疗,病情稳定。
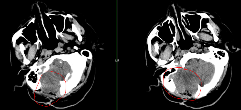
2025年8月:患者头晕、呕吐症状加剧,复查头颅MRI显示右侧小脑半球恶性肿瘤复发,约45mm×35mm大小,周围水肿严重,同时患者合并高血压和糖尿病,治疗难度加大。
d84a2104a197187fe3fdfdee7777982f.png edfb3326afa1a39fecbbd896f71cd773.png
0690b7b1be379b328ef96b141dbd9c81.png
此次手术面临诸多挑战:手术区域有疤痕和粘连,结构不清,容易出血;肿瘤位于小脑,紧邻脑干,手术中必须保护好神经功能;首次手术后部分枕骨缺失,脑组织生理结构已有改变,对手术入路设计和术中脑组织保护提出了更高要求。
面对如此棘手的局面,周焱峰主任带领团队进行详尽的术前讨论,研读MRI影像,模拟手术入路,为其量身制定手术预案和应急预案。

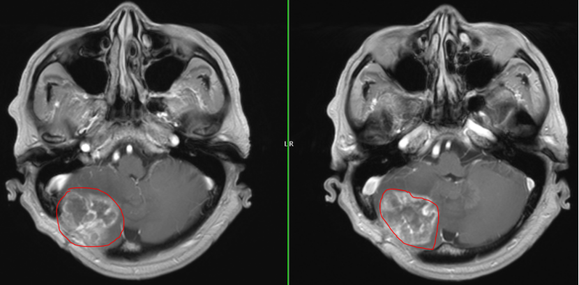
1e26fa906268e53c2ff8f6b880395fcb.png

术前MRI

32e2d4037feac0a4aa171039b4ce25b6.png

术后MRI


历时4小时,神经外科团队仔细分离粘连组织,准确找到肿瘤边界,完整切除了复发的肿瘤,术中监测平稳,最大程度地保护了神经功能。手术顺利完成,所有人都松了一口气.。
术后,神经外科医护团队结合中西医康复方法,给予控制颅压、抗感染、调控血压血糖等精心治疗与护理,朱先生头晕、呕吐症状消失,顺利出院。




周焱峰提醒:若突然出现持续的头痛头晕、恶心呕吐、视力模糊、肢体无力或麻木等神经系统相关症状,请务必及时到神经外科就诊完善头颅CT和MRI检查,排除神经系统疾患。早发现、早干预是关键。





泰州市中医院神经外科


泰州市中医院神经外科成立于2001年,科室现有主任医师2名,主治医师2名,住院医师5名,其中包括博士1名,在读博士2名,硕士研究生4名,科室以"神经内镜手术—神经重症—神经康复"一体化诊疗为核心模式,长期与上海华山医院、上海中山医院、苏州大学附属第一医院等国内顶尖神经外科医疗中心保持密切协作,在脑肿瘤、脑血管病、重症颅脑损伤及神经重症、神经康复、神经内镜等方面特色显著,积累了丰富的临床经验。尤其擅长神经外科手术和神经重症的结合,依托精细化管理的专业医护团队实现对危重病例的全流程生命支持。同时充分发挥中西医结合优势,整合高压氧治疗与现代康复技术,配合针灸、中药内服外敷及推拿等中医特色疗法,构建贯穿治疗全程的术后康复体系,有效促进神经功能重塑、减少后遗症,切实提升患者生存质量。科室始终秉承“手术精益求精、管理精准到位、康复促进融合”的一体化理念,以精湛技术和仁爱之心,为患者提供全周期、高品质的诊疗服务,致力于打造泰州地区顶尖的综合性神经外科团队。



专家介绍


aa6faf77f5949197d0f4ea04e00262f0.jpeg

周焱峰

医学博士,主任医师,南通大学副教授,泰州市中医院外科主任兼神经外科主任,江苏省医学会脑血管病学组委员,江苏省中西医结合学会神经外科常务委员,从事临床工作20年,2014年至上海华山医院学习神经肿瘤,2017年至上海中山医院学习神经内镜,擅长重型颅脑损伤的综合治疗,脑肿瘤和脑血管疾病的显微手术治疗及内镜辅助治疗,颅骨缺损个性化修复(苏中地区第一例PEEK材料修补手术)及并发症处理(钛网外露,变形等),难治性脑积水的综合治疗,泰州市科技进步奖三等奖一项,SCI论文4篇,核心期刊2篇等。


回复

使用道具 举报

您需要登录后才可以回帖 登录 | 立即注册 微信登录

本版积分规则

Archiver|手机版|小黑屋|史记泰州

GMT+8, 2025-12-12 03:15 , Processed in 0.066367 second(s), 26 queries .

Powered by Discuz! X3.4

© 2001-2023 Discuz! Team.

快速回复 返回顶部 返回列表