史记泰州

 找回密码
 立即注册

微信登录

微信扫一扫,快速登录

搜索
热搜: 活动 交友 discuz
查看: 1997|回复: 0

巨大前列腺似蟠桃,钬激光让其无处可“桃”

[复制链接]

410

主题

163

回帖

3099

积分

版主

Rank: 7Rank: 7Rank: 7

积分
3099
发表于 2025-11-14 10:39:46 | 显示全部楼层 |阅读模式
68岁的张大爷(化名)十多年来一直排尿不顺畅,夜尿频繁,逐年加重。两年前,排尿时开始感到下腹部疼痛。近期出现了排尿中断的情况,有时还伴随尿痛。在家人的陪伴下,张大爷来到我院泌尿外科就诊。  
e4dafdbffd8c3840978635d4abb2b96a.png 87359bee1649df0f6d9752b385f45e3d.png
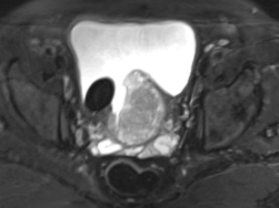
经检查,患者前列腺体积大小达到200ml,与蟠桃相当,而正常前列腺仅20ml,且合并巨大膀胱结石,这正是导致其症状加重的主要原因。

2b8a005b54371cd8fc106037f0d49cd1.gif


入院后,泌尿外科团队为其完善相关检查,排除手术禁忌症后,包卿兵主任带领团队经详细讨论与术前评估,考虑患者前列腺体积过大,传统的电切手术风险较高且可能出血较多,决定为其实施“经尿道前列腺钬激光剜除术+经尿道膀胱结石钬激光碎石术”。

c36a393c665909ddf76195415055df30.jpeg

前列腺组织及膀胱结石


术中,包主任带领团队利用高功率钬激光粉碎结石,剜除巨大前列腺组织经刨削后吸出。一个小时后,手术顺利完成。

19d454a5c412f8ece104e321bde9365b.jpeg

     

术后几小时,张大爷便可以下床活动了,尿色清亮,恢复良好。
f8870c0108ce1e2287e377ad596962e0.png
对于许多中老年男性来说,前列腺增生(BPH)是一个难以回避的“男”题。尿频、尿急、夜尿增多、排尿费力……这些症状不仅严重影响生活质量,更可能损害膀胱和肾脏功能。传统电切术的创伤、出血和漫长恢复期。因此很多患者望而却步,但越来越多更加安全、高效的手术技术出现,使得患者有了更好的选择。
我院拥有瑞尔通绿激光、Lumenis Pulse 100H高功率钬激光,可满足各种复杂前列腺手术要求,率先开展经尿道前列腺钬激光剜除术(HoLEP) 与经尿道前列腺绿激光气化术(PVP),年手术量近400台。它们犹如两把精准的“激光剑”,为前列腺增生患者带来了更安全、更高效的治疗新选择。
01经尿道前列腺钬激光剜除术 (HoLEP): 精准的“剜除”艺术
钬激光剜除术(HoLEP)是一种利用高能钬激光,经尿道将增生的前列腺组织从包膜完整剜除的微创手术,被认为是目前治疗良性前列腺增生(BPH)最先进的方法之一。
HoLEP的原理不同于“一刀刀切割”的电切术,而是采用“剥橘子”的方式:
医生通过尿道插入内窥镜和激光光纤。利用钬激光在增生腺体与外科包膜之间的自然间隙进行分离,将整块增生组织剜下。再用组织粉碎器将剜下的组织打碎并吸出体外。
核心理念: “剜除”是这项技术的精髓。医生利用极细的钬激光光纤,如同开启了一个“解剖性”的层面,沿着前列腺外科包膜的边界,将增生的腺体组织完整地剥离下来。      
过程比喻: 就像剥橘子,钬激光可以精准地将果肉(增生腺体)从橘皮(外科包膜)上完整地分离下来,然后将剥离下的“果肉”在腔内粉碎并吸出体外。      
最大优势:
· 彻底性高:能够将增生组织几乎100%切除,术后复发率极低,被誉为治疗BPH的“金标准”。
· 不受体积限制:尤其适用于重度、巨大体积的前列腺增生。
· 组织获取:剜除的组织是完整的,便于进行病理检查,排除偶发癌的可能。

51d5571fc2b9800b0367bb0eda52eb3d.png


02经尿道前列腺绿激光气化术 (PVP):高效的“气化”大师
绿激光汽化术是一种以特定波长绿色激光为能量源,通过精确汽化病变组织达到治疗目的的微创手术技术,在良性前列腺增生(BPH)的治疗中应用广泛,被认为是安全、有效的手术方式。     
核心理念: “气化”是绿激光的拿手好戏。前列腺增生组织中的血管和腺体对绿激光的能量吸收效率高,绿激光照射后,增生组织会瞬间汽化,同时,汽化过程中会形成薄凝固带,几乎不出血。
过程比喻: 如同一个高效的“熨斗”,所到之处,增生的前列腺组织被瞬间汽化平整,同时像“止血贴”一样封住血管,“焊牢”出血点。     
最大优势:      
· 几乎无血操作:激光同步止血,手术过程中出血量极少,视野清晰,安全性极高。      
· 恢复极快:术后留置导尿管时间短,甚至部分患者可实现“日间手术”或术后第二天出院。      
· 对高危患者友好:对于正在服用抗凝药(如阿司匹林、华法林)的心脏病、支架术后患者,绿激光手术通常无需停药,大大降低了手术风险。
共同优势(与传统手术相比):
· 微创无切口: 均通过人体自然通道(尿道)进行,体表无创口。      
· 安全性高: 显著减少出血、水中毒等传统手术风险。      
· 恢复迅速: 住院时间短,能更快地恢复正常生活和工作。   
· 疗效确切: 术后排尿症状能得到立竿见影的改善。

8b91c9b281ff8d400b0909a44f0ce02b.png






52db857a25a83393f79016dd3e01fe04.gif 2733988f7a6ebe9eac1e7a809de85b91.gif 专家介绍 8a9a605fb1da4c0942b0626c64aa6916.jpeg
包卿兵
中共党员,主任医师,硕士研究生导师,泰州311第二层次人才培养对象,中国老年保健协会中老年性与生殖健康专委会委员,江苏省中西医结合学会委员,江苏省中西医结合学会结石学组委员,江苏省研究型医院学会男科分会委员,江苏省研究型医院学会前列腺健康管理专委会委员,江苏省中西医结合学会男科分会委员,江苏省中医学会男科分会委员,江苏省康复医学会功能泌尿外科分会委员,第一完成人获泰州市科技进步奖三等奖和医学新技术引进三等奖各一项,获得国家实用新型专利一项,系统接收泌尿外科内镜技术培训,擅长各类泌尿系结石手术,前列腺电切(剜除)术,前列腺绿激光汽化剜除术,熟练掌握腹腔镜下各类肿瘤根治术,腹腔镜下肾部分切除术及腹腔镜下疑难输尿管疾病重建手术。






回复

使用道具 举报

您需要登录后才可以回帖 登录 | 立即注册 微信登录

本版积分规则

Archiver|手机版|小黑屋|史记泰州

GMT+8, 2026-5-16 03:25 , Processed in 0.077505 second(s), 26 queries .

Powered by Discuz! X3.4

© 2001-2023 Discuz! Team.

快速回复 返回顶部 返回列表