史记泰州

 找回密码
 立即注册

微信登录

微信扫一扫,快速登录

搜索
热搜: 活动 交友 discuz
查看: 5502|回复: 0

“小细管”解决大问题!原来超声科还可以做这些!

[复制链接]

843

主题

-5

回帖

6493

积分

论坛元老

Rank: 8Rank: 8

积分
6493
发表于 2023-12-14 17:42:45 | 显示全部楼层 |阅读模式


PTCD,中文名是经皮肝穿刺胆道引流。属于微创手术,是在X线或B超引导下,利用特制穿刺针经皮穿入经皮肝穿刺肝内胆管,再将造影剂直接注入胆道而使肝内外胆管迅速显影,同时通过造影管行胆道引流。是当前胆道外科的一项重要治疗技术,已在临床应泛应用。

174234ie0memd907pzp4im.png



患者李大爷今年60岁,因无痛性黄疸收入至我院脾胃病科,诊断为胆管癌侵及乳头,因经内镜逆行胰胆管造影术(ERCP)插管困难无法行胆汁内引流,当时患者呈现重度黄疸、尿黄、腹痛腹胀、乏力恶心等症状,超声及CT检查均提示患者肝内导管明显扩张,检验提示肝功能严重受损,已失去根治手术机会。但对于此类胆肿瘤晚期患者,若不及时诊治,将出现感染、肝功能衰竭等并发症,甚至随时可能危及生命。因此,我院脾胃病科和超声科经过详细讨论诊疗计划,最后决定采用PTCD术经皮肝穿刺胆道引流术)治疗,为患者争取更多生存时间。

174234zgsjrrjx015p93jb.jpeg

174234jg7vogozoje3z2g2.png

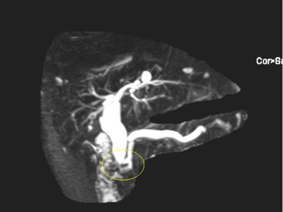
磁共振下见到的扩张的胆管

174235cnb915nnnn0ogvn0.png

B超下扩张胆管



在做好充分的术前准备后,经过与患者及家属沟通,我院超声科团队在局麻下为患者行超声引导下行经皮经肝胆管穿刺置管引流术(PTCD)。在B超精准定位下经皮肝胆管穿刺成功,置管后引出胆汁,术后患者无明显不适,安返至病房进一步治疗和观察;次日李大爷黄疸、肝功能等情况逐渐得到缓解,精神状态明显好转,患者及家属对该手术治疗也感到很欣慰。


174235qzzjx3z2b3jrmkrd.png
PTCD适应证

  • 恶性梗阻性黄疸需姑息性胆道减压治疗;

  • 良性胆道狭窄或急性胆管炎需胆道引流减压;

  • 胆道手术需术前减黄准备;

  • 需经皮胆道入口行支架植入、狭窄胆道扩张、结石或异物取出、近距离放射治疗;

  • 需经皮胆道入口行胆道造影或病理活检为胆道疾病做诊断参考。

174235brf3o4lof4np5znp.png
PTCD的主要临床意义及目的

  • PTCD可以减压、减黄,缓解症状,改善全身情况,进行择期手术,增加手术安全性,减少并发症,降低死亡率。对老年病人、体衰、全身情况差、重要脏器功能不全和重度休克者尤为适宜。

  • 可经引流管冲洗,滴注抗生素,可进行多次造影。

  • 通过留置导管,可以灌注复方桔油乳剂等进行溶石治疗,亦可进行化疗、放疗、进行细胞学检查,经窦道纤胆镜取石。

  • 经皮肝穿刺胆道造影的造影剂分布广泛,影像清晰,诊断正确率高,且不受肝功障碍、黄疸及特殊设备的限制,该方法安全易行,尤其是利用细针穿刺以来,危险性已大为减少,在胆管增粗者,成功率达95%以上,胆管不粗者,成功率亦达70%。

174235k5izjczmxl6ee1e9.jpeg

超声医生还能做手术啊

我还以为只是

肚子痛做B超

怀孕了做B超……

174236c7v2c7v7zv7vkk2v.jpeg


你们都理解错了。各系统的超声检查只是超声在临床医学应用中的一部分。近年来随着医疗模式和学科的快速发展,超声医生不但能诊断疾病,还可以做手术,这就是介入超声技术!

174236m6laluku65kc8ktu.png
174236bgmh0mpkqkpmid11.jpeg

超声介入科陶璇介绍,介入超声是指在实时超声的引导或监视下,以穿刺针代替手术刀来完成各种穿刺活检、置管、抽吸、注药、消融治疗等操作。使患者避免了传统外科手术的痛苦,并达到与外科手术相媲美的效果,已经成为微创领域的支撑技术之一。其优点是在超声设备的实时引导下穿刺,可避免损伤重要毗邻结构,直达病灶进行诊断性或治疗性操作。具有精准、微创、安全、痛苦小、疗效好等优点,符合当代医学的诊疗理念。






泰州市中医院超声科

常规开展介入超声诊疗


174237x6lemcokjf4eaajg.png
01
超声引导粗针穿刺组织学活检

如检查发现乳腺肿块(BI-RADS 4类及以上或部分3类病变)、异常淋巴结肿大,或肝、肺、肾肿瘤性或弥漫性疾病等需明确病变良恶性或病理类型等,为确定治疗方案提供依据,可在超声引导下进行穿刺活检。

174237zt7k0inbnj80g0bj.png

超声引导下乳腺肿块穿刺活检,可明确肿块性质


02
超声引导细针穿刺抽吸细胞学检查(FNA)

若检查怀疑甲状腺结节或颈部淋巴结具有恶性可能,可行FNA送病理检查甚至基因检测明确病变良恶性。

174237jgygb2y66pf724g6.png

超声引导下甲状腺结节细针穿刺活检,明确肿块性质,并可行超声引导


03
超声引导穿刺抽吸和置管引流

常见的如胸腔积液、腹腔积液、心包积液等疾病的抽吸或置管引流;再如肝脏、肾脏、淋巴管囊肿及巧克力囊肿等囊性病变的穿刺抽液硬化治疗;以及梗阻性黄疸时可行超声引导经皮经肝胆管(PTCD)、胆囊穿刺置管(PTGD),减黄效果立竿见影,又为进一步治疗建立了“救命”通道。解除泌尿系梗阻的肾造瘘术.

174237tzs0ywc45u0yz0pz.png

欲明确胸腔积液性质,可于超声引导下胸腔积液穿刺,抽取液体化验,或插管引流


04
超声引导消融治疗

在实时超声引导下将消融针穿刺至病灶,启动消融设备,消融针快速升温,利用高温将肿瘤组织“烧死”,可让更多的疾病在“不开刀”的前提下得到根治性的治疗,如肝脏、肺脏、乳腺、甲状腺肿瘤及子宫肌瘤的消融治疗。

174238ooqvz3vb5uqg03xo.png

超声引导下实体肿瘤的微创消融治疗,“小针解决大问题”

174238iuvve22s28v8ss98.png

科 室 简 介


超声科现拥有多台高档彩色多普勒超声诊断仪,如飞利浦EPIQ5 、EPIQ7;GE Voluson E10、E8;迈瑞高端床旁超声检查仪等,科室环境优越,建立相应的专业人才梯队,科室现有硕士研究生4名,在读研究生2名,主任医师2名,副主任医师3名,主治医生8名,住院医师3名,护理及其他人员7名。

科室常规开展项目:心脏、腹部、血管、浅表器官(甲状腺、乳腺等)及其他器官的常见病多发病的诊断,特色诊疗项目有:早孕期NT超声、胎儿四维畸形筛查超声、介入超声、小儿髋关节超声、新生儿颅脑超声、妇科三维超声、子宫输卵管超声造影、盆底超声、肌骨超声等 。

174238gzn54jdjajzy53ef.png
174238nbfe0vzpmz0kfrx1.png
174238xg9h9qu9131bhv0u.png
174238ry4g9lu3gcqgoq3z.png
174238nvbs6hlo3g4zswps.png

检查地点

泰州市中医院济川路院区医技2楼超声科

咨询电话

0523-86611757


回复

使用道具 举报

您需要登录后才可以回帖 登录 | 立即注册 微信登录

本版积分规则

Archiver|手机版|小黑屋|史记泰州

GMT+8, 2025-12-16 14:51 , Processed in 0.080724 second(s), 26 queries .

Powered by Discuz! X3.4

© 2001-2023 Discuz! Team.

快速回复 返回顶部 返回列表